2025/10/31配信:美容医療ニュース

生まれつきバストトップの色が濃い、出産・授乳・加齢によって黒ずんでしまったなどのお悩みはレーザー治療でキレイなピンク色へと改善できます。当院で黒ずみ治療に用いるコリメート照射は、照射距離にかかわらず均一な照射径が保たれる特殊仕様となります。コリメート照射はムラなく安定した照射となるだけでなく、照射時の疼痛抑制や、治療後のダウンタイム軽減も可能にし、繊細なニップルの治療に適しています。過剰反応を起こさない照射は、ニップル以外にも、過剰反応や白抜けを回避した肝斑治療、デリケートな陰部の治療にも最適といえます。
第64回日本形成外科学会総会・学術集会でも詳しい論文を出しています。
「コリメートレーザーを用いたバストトップ色素沈着の治療 - 第2報 長期経過と他部位への適応 -」


バストトップの色が濃い人は、薄い人に比べて基底層に沿ってメラノサイトが過剰に増殖し、メラニン色素がより多く存在しています。メラノサイトの過剰な増殖の原因は、生まれつきの場合もありますし、日常生活での刺激による炎症の繰り返しであったり、刺激に反応しやすい敏感な肌質により起こる場合もあり様々です。
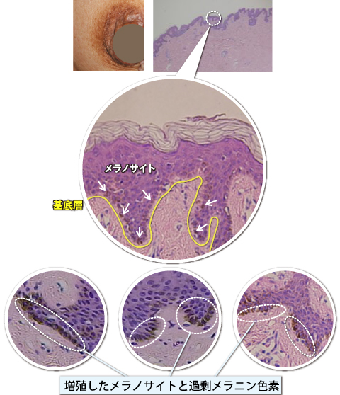
▼当院では皮膚内部の組織検査を行い、黒ずみの組織状態と病態を解明しました。


外観上の濃い薄いは、単にメラニン色素の多い少ないではありません。肉眼での観察に加え、病理組織検査を行い組織内でどのような変化が起こっているのかを確認しました。その結果、上図のように黒ずみのある乳輪では、薄い乳輪に比べてメラニン増加が通常のシミよりも深部で起こっています(色素沈着)。また、色素を作る細胞メラノサイトが基底層に沿って過剰に増殖しています。この組織状態を見定め、適したレーザー仕様、設定を選択する必要があります。
一般的なシミ等の色素治療のように焦点を作る設定と異なり、非焦点仕様のコリメート照射は、


移動に伴い距離のブレが必ず生じてしまう。ハンドピースからの距離が変わるとエネルギーは不均一になりムラを生じさせる。また焦点に当たると治療には不適切な強いエネルギーを与えてしまう。
均一な照射にはトレーニングを要する。

距離が変わってもエネルギーは均一なまま。ムラなく負担のないエネルギーを与えることが可能。
ダウンタイムも起こさずデリケートな治療に適している。
バストトップをはじめビキニラインなどのデリケートな部位の施術ですから『パートナーに気付かれたくない』『仕事に支障が出ないようにしたい』なども考慮しつつ治療を行うこともポイントです。
高い効果を出すために麻酔注射をして過剰なエネルギーで照射を行うと、カサブタ・擦り傷・数ヵ月の発赤など重度のダウンタイムを被る懸念があります。施術後に処方する外用薬は、治療効果の促進と患部の保護をするためのケアとして忘れずに行っていただいております。

20代の出産経験のない方から、出産・母乳保育によって黒ずみが起こった方、60代以降の加齢による色素沈着、乾燥湿疹による皮膚炎後遺症の方などニップルトーニングは幅広い年代・状態に対応できる治療です。尚、未成年者の方も治療可能ですが、保護者の方の同意が必要になります。

※音が出ます
当院では黒ずみ治療後の様々なトラブルのリカバリー治療も行っています。

外用薬の不適切な使用により、かえって濃くなり色ムラにになった例。
色素欠損・白斑化した例(強すぎるエネルギーと思われる)
患者様の状態を診察した上で使用する容量や回数などを指示いたします。ホームケアとしてお使いいただけますが、化粧品よりも強い作用があるため、必ず医師の指示に従ってお使いください。色素沈着の治療につきましては保険適用の場合もあります。
乳輪にニキビやイボのようなブツブツが見られることがあります。このブツブツの正体はモントゴメリー腺と呼ばれる皮脂腺の一種で、乳輪と乳首を保護するための皮脂を分泌しています。誰にでもモントゴメリー腺は存在しますが、大きさや数には個人差があり、必要以上に発達するとブツブツとしして目立ってしまいます。その場合は、健康上に害がない範囲で目立つモントゴメリー腺をピンホールレーザーで除去することができます。

ピンホールレーザーによる治療は、一般的な「レーザーによるくり抜き」や「切除手術に」比べて除去の範囲に制限がありますが、表面麻酔のみで施術でき、極小のキズで治療することが可能です。デリケートな部位の治療なため、当院ではダウンタイムが最小限に抑えられ、手術痕が残ってしまうリスクを回避できる「ピンホールレーザー除去」を採用しています。
| ピンホールレーザー治療 | 一般的なレーザー治療 | 切除手術 | |
|---|---|---|---|
| 麻酔 | 表面麻酔のみ | 注射麻酔 | 注射麻酔 |
| ダウンタイム | 数日程度0.5mm~1mm程度の擦り傷が付きます。小さな擦り傷なので出血はほとんどありません。 | 除去したサイズの擦り傷が8日~14日程度残ります。病変と同サイズの潰瘍となります。数日間の出血を伴いガーゼ保護が必要です。 | 抜糸まで1週間程度、数日間の出血を伴いガーゼ保護が必要です。術後一定期間の制限があります。 |
| 治療跡が残るリスク |
![]() |
![]() |
![]() |
| 除去可能な大きさ | 2~3mm程度までの状態に適しています。 | 5mm程度までのモントゴメリーの除去も可能です。 | 大きいモントゴメリーの除去も可能です。 |
(税込)
| ニップルトーニング照射(両胸) | 初回トライアル | 8,800円 |
|---|---|---|
| 2回目以降 | 27,500円 | |
| 5回セット | 126,500円 | |
| レディーストーニング照射デリケートゾーン(鼠径部・大陰唇・小陰唇) ※剃毛部位のみ照射可能です。 ※月経(生理)時は綿球で施術可能。 |
初回トライアル | 19,800円 |
| 2回目以降 | 55,000円 | |
| 5回セット | 220,000円 | |
| Oライン・わき・肘・膝などのトーニング照射(各箇所) ※剃毛部位のみ照射可能です。 ※月経(生理)時は綿球で施術可能。 |
初回トライアル | 11,000円 |
| 2回目以降 | 27,500円 | |
| 5回セット | 126,500円 | |
| 臀部のトーニング照射 | 初回トライアル | 5,500円 |
| 2回目以降 | 27,500円 | |
| 5回セット | 126,500円 | |
| モントゴメリー腺除去 | 片側1ヵ所 | 22,000円 |
| 片側3ヵ所 | 55,000円 | |
| 片側5ヵ所 | 88,000円 |
※未成年の方は保護者の承諾書が必要になります。
※陰部の黒ずみにも対応できますが、脱毛処置も必要になる場合があります。
※自由診療になります。公的健康保険はご利用できません。

スマイルクリニック総院長 西川雄希 略歴
お問合せ医療法人優肌会 スマイルクリニック
院内設備
令和3年にリニューアルして開院しました。モダンでクリーンな院内です。
Copyright smile clinic. All Rights Reserved.